Baby baby~ 10 months condensed in 1 post
Announcement
I know, I know. This blog post is super overdue. I haven't even finished our wedding post! But I just got to churn this out before our new family member arrives! I'm already 36 weeks pregnant!
It didn't come as a surprise since we had planned for an October baby. We discovered early at 3-4 weeks and we were excited and anxious at the same time. We started researching on the obstretricians and hospitals, which wasn't a very fun process. It took me a while before I decided to go with my current doctor.
The first trimester went considerably well since I didn't have much morning sickness. It was fun wondering what the gender of our baby is, and somehow, all the signs pointed to a boy. There's this linea nigra that extends all the way above my navel, and the chinese gender predictor also seemed to indicate that I'm having a boy according to my age and month of conception. Soon we were kinda stuck on the idea and started thinking about which boy names we liked.
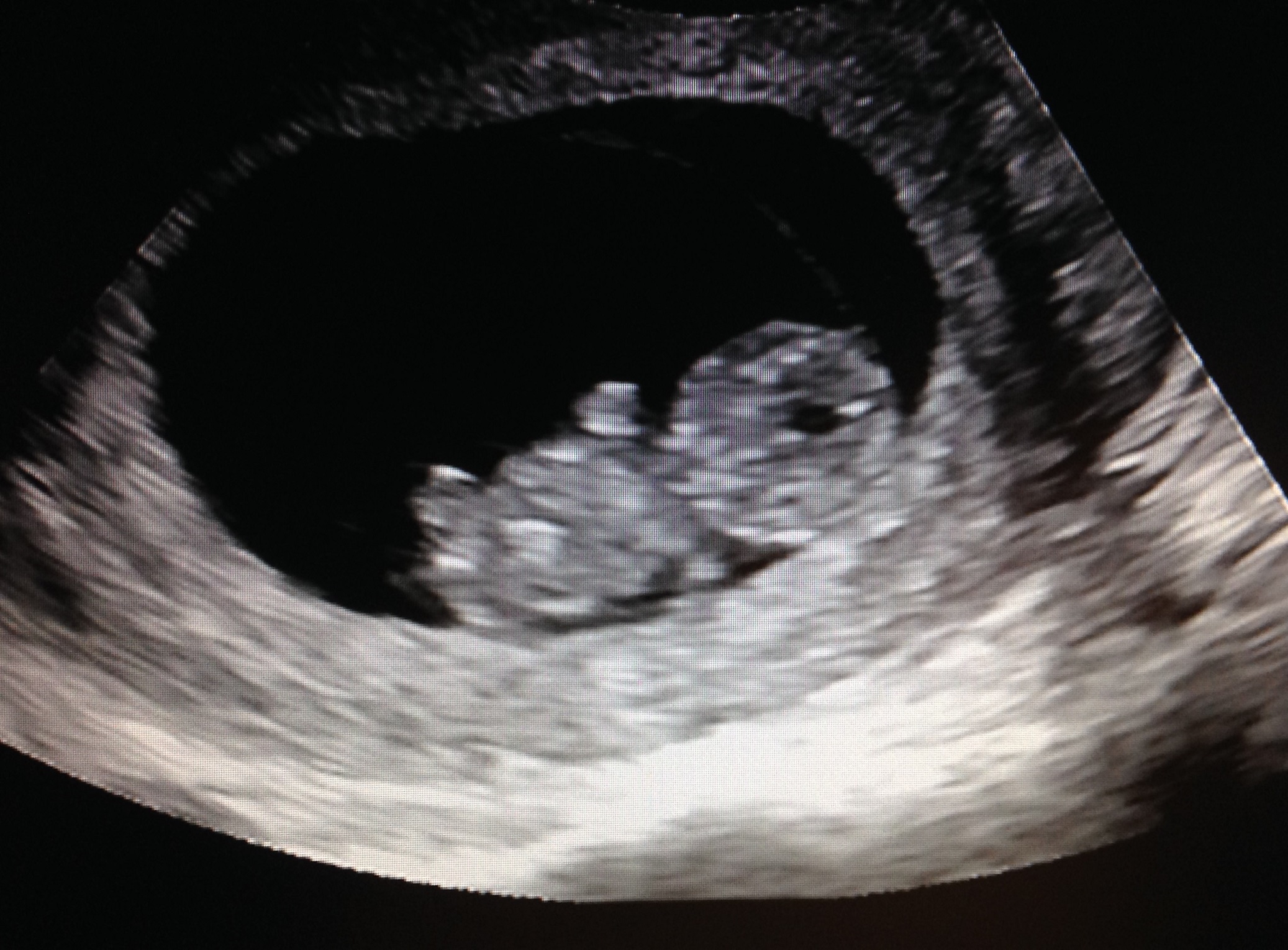
On March 11, I had a really bad scare. I called the clinic and my doc wasn't in so they advised me to get an appointment with the Ultrasound clinic. I called the clinics back and forth and broke down when there was confusion over the appointment time, so LG took over the call for me. It was a depressing morning for me and I just couldn't wait to go to the clinic but felt scared to go at the same time.
Fortunately, the teeny tiny human being inside of me was alright. The little heart beat on surely and we even saw cute wriggling motions. The doctor wasn't able to explain what happened but I felt immense relief and went home with precious prints which turned out to be my favourite prints throughout my pregnancy so far. The cute little silhouette looked like a cartoon character. Guess it was a blessing in disguise after all!

LG's Birthday
Soon, March 19 came along and I baked a cake for the first time in my life for the most important man in my life!
We also dropped by Bill Gates' house since he wanted to wish my LG a happy birthday. Had a pizza for dinner topped off with a lie that night.

The next day, we went to Space Needle for an expensive birthday lunch at the revolving SkyCity restaurant.

It was and then checking out the various personalized key chains with names. We looked at the boys' names way longer oops.
I also remember the bus ride home where we looked out the window and suggested whatever word we saw outside as the baby's name. Parking Wang was my favorite fun name and somehow, it became a precious and lasting piece of memory to me.
The first trimester felt so long to me. Even though it was still early, we went to the consignment fair at Seattle Center on April 10. I tried my best to pick clothing that were as unisex as possible - fleece outfits and a swing that I'd been coveting.
1st Wedding Anniversary
Yeap, first anniversary! No presents from LG though...*cough*
Got a momento from the anniversary though from my failed attempty to bake a cake - a nasty second degree burn that took weeks to heal and became a permanent scar. Clumsy me hasn't baked a cake since then.
We went Gameworks for some business left unfinished for 5 years - completing House of the Dead 4!
2 days later, my weak LG texted me from work that he was having difficulty breathing, and that he was on his way to the ER with a colleague. Apparently he had been feeling unwell but didn't tell me earlier, tsk. I rushed out of the house after throwing some chicken into the Instant Pot, and got my first Uber ride to Swedish First Hill. We waited from about 4pm to 10pm until we finally got to see a doctor. Poor LG felt better after the inhaler treatment, so it was probably asthma. Scary episode for me.
2nd Trimester
The second trimester was when the discomfort really kicked in. I was so puffy and swollen and I just couldn't move much. Even climbing the Aloha Street slope was akin to Mount Everest. I nearly passed out and LG had to help me to the bus stop where a kind soul came over and got me cold water from Pho Cyclo. My belly wasn't even showing then yet and that was the first time I came close to passing out.
After that, every time we went out, I got faint spells without fail. I had to rest every ten steps or so and had to struggle to stay on my feet and refrain from sitting on the sidewalks. I planned for a Din Tai Fung meetup with the Singaporeans and ended up being the last to arrive. Embarassing episode. I was busy struggling with to stay on my wobbly legs when the kind staff from the downtown Walgreens saw my pathetic plight and led us in for a seat and drink.
That was just the second trimester! I was filled with dismay that my third trimester would be much worse. Luckily the odds turned and I actually became more energetic than my first trimester. Odd but whee~!
Being aware of the imminent lack of freedom, I regretted my lack of activity pre-pregnancy. I've been desperately trying to make up for lost time in my third trimester, wondering when it would be before I could go to the movies or play pool (lousily, as LG would say) again. I also made it a goal to attain infamity before I delivered, and soon, LG and I were holding a poker card each. The Payday Gang of 3 is officially infamous!
Mystery Unraveled
On May 27, we went for another ultrasound appointment. It was THE appointment - the day we could finally know the gender of our little human.

The sonographer of THE day sucked big time though. Bleh. I made sure to complain the next appointment and I had this 4D print as compensation.

LG said our baby girl looks like me. I'm not sold on that, but I was hoping otherwise. :X
So the shopping for clothes officially started. Pretty bows and lace, here I come!
Naming the Princess
And we began thinking of her name. How exactly did we decide on Olivia? Was it because of Fringe? I'm not certain, but we both do like the ring of it and its meaning of strength and feminity. Haha! This part was supposed to be the easiest part to think about, since the worst part was the Chinese name, argh.
For the Chinese name, we took MONTHS. Although we're not the ban dang type, I do want to take some steps to make sure her name is auspicious by Chinese standards just in case. It was no easy feat trying to meet the criteria while at the same time sounding nice and unique.
Our first try? 秋颖. We actually thought it was pronounced as ying2, and we found out only months later that it's actually ying3. 秋's usage was not approved either. And worse, we didn't know earthworm is called 蚯蚓. Damn, shouldn't it be 土虫 or something? :X
Second try was one I really liked - 秋跃. But as I said, 秋 wasn't approved to be in the name so out it went. Other viable pleasing-to-the-ear options were 秀雯、雪盈、秀盈,斯颖、跃颖 and 跃荧. So much unhappiness arose between us during this period. I had to pull myself together and researched on the total number of strokes, the 五行, the ok's and not-ok's for a goat, and the list goes on. To the poor mothers out there who have a limited Chinese vocabulary and are going through what I went through, I have this suggestion for you:
1) Come up with names that are pleasant to your ear.
2) Try the name here and see if the results are good enough for you.
3) Find alternative words with the same pinyin or meaning if you must. Essentially, go back to Step 1.
Stress, stress, stress. Thanks to this website I found at the very end, he decided on 跃荧 and I was just happy we were done with it (for now). Pfft.
To Car or Not to Car
Having been in Seattle for 15 months, we thought we could do just fine without a car ever, and that renting cars and Uber/Lyft would be sufficient. Adding the car seat to the equation made it complex. We were late once when returning the ZipCar, and that was because the traffic was bad. If we had to install the car seat before the journey and take it out again after, we would be soooo late. Not to mention delaying the next person who reserved the car, although I had no compassion whatsoever for the super gei gao jerks who lodged 2 complaints against us. Yes, you complain kings and queen outside the Union SLU. _|_ You are one big reason why car sharing was even less favourable.
As my delivery date drew nearer, we started researching cars and dealerships and stuffs in early September. It was madness and I was overwhelmed with all the research and uncertainty. It felt like I had only a few days or a week tops to research before we actually purchased one.
The man had only 2 candidates in mind - Mazda 3 and Subaru Impreza hatchbacks. It kinda worried me that the range was so limited and there could be more suitable cars out there but no, the man was set on 2 options. The kiasu shopper in me sweated profusely inwards and went along with the man.
On Sept 3, we went for a test drive at University Mazda before my doctor's appointment. The man wanted a Mazda 3 Hatchback in Deep Crystal Blue, and I wanted the safety features (Blind Spot Monitoring & etc) which would make that at least an iTouring build. What the dealership had in store was a Blue Reflex Mazda 3 iGrandTouring hatchback and a Deep Crystal Blue iTouring 4-door sedan. Tough choice between practicality (cargo space) and style (colour). I also felt claustrophobic sitting in the rear of the sedan. After the test drive, the man almost wanted to decide to get the 4-door on impulse (for the deep blue colour:X), but we both knew we shouldn't give the nod yet. The dealer immediately 变脸 when we expressed our thoughts that we wanted to test drive Subaru Impreza before we make a decision. Before we left, he made sure to let us know that Mazda is the #2 on the safety chart displayed at the entrance, compared to Subaru at #8.
After our doctor's appointment, we went to Carter's Subaru at Ballard. The shopping experience was more pleasant with the motherly figure dealer. We had a few test drives on a few different trims of Subaru Impreza and then Legacy. The man said he preferred Impreza to Legacy because Legacy was bigger and harder to control ("limpeh gia", the man said :X). We went back with quotes of Impreza Limited and Premium 5-door wagons. As exhausted as we were after a full day of adventure, we went back to do some more research and a lot of thinking.
Early next day, we went for 2 newborn classes at Swedish - Newborn Care and Infant Safety & CPR. We were late for the morning class due to Car2Go's stupid problems (which kinda affirmed the need of our own car), but we didn't miss much. In fact, the $50 spent on this class felt like a waste to me. I was expecting hands-on exercises on taking care of a baby, but it was mostly just listening to advice (most of what I had already researched) and watching a 20-minute video (on stuffs I had already read up online). The only hands-on that was mildly useful was about how to bathe a newborn. The other hands-on was swaddling - which I've already watched tons of video clips on. I kept yawning throughout the whole class and couldn't wait to get my hands on a cuppa joe since I didn't have a good rest at all thinking about the car and loan and insurance and stuffs.

In the afternoon, the kiasu kiasee shopper in me asked the man if he wanted to give Honda/Toyota a chance. He didn't want to, so we went to Sarducci where I did math on the car prices and stuffs. The Infant Safety & CPR class was up next shortly, and luckily the coffee machine outside the class entitled me to a rare day full of caffeine.
Another exhausting day ended and we went home to contemplate about the car. It spanned over to the next day and we were really conflicted over the car deal and when we should go back to Subaru. I lost even more sleep being the usual imsoniac I was, getting up early in the morning just to get more car insurance quotes and stuffs. Nightmarish, come to think about it. Pregnancy doesn't go well with insomnia and stress! Couldn't have been good for the baby in me!
Well, (luckily?) it didn't take TOO long though since we really made the decision in a matter of a few days. After consulting First Tech, we had a very serious brunch at Serious Pie talking seriously about the car decision. The food was seriously less than impressive and we seriously wondered if we should go back to Subaru on that same day. So... we seriously did. We took bus 40 and I was wondering if it was gonna be the last day we're taking a bus in Seattle. Conflicted feelings since I enjoy long walks and journeys with the husband.
Anyhows, we arrived at the destination and struggled to compile our research at the last minute before we went in. We took some screencaptures and they ended up being the bane of our negotiation. We asked if there was a Deep Sea Blue Pearl Impreza (the man was obsessed with the colour :P) and it was in stock as a Sport Premium build. We test drove that and tada, he wanted that car. Next up - price negotiation. Tired as I was, I couldn't bring out the most aggressive negotiator in me. We didn't manage to haggle a good deal for us, but well, at least it was his DREAM colour. The financial manager Mr Jackass was a total douchebag, but being tired as I was, I didn't treat him with hostility like I should have and now deeply regret it.
Since we hadn't settled the car insurance yet, we couldn't take the car back and so we took the bus home again(yay!).
There, there, the deal was done and over - we bought a car for the first time of our lives. What was left is me getting more insurance quotes and also renters' insurance quotes. Just a little more to go before I could finally get my well-deserved momma's rest.
So glad the ordeal was over when we finally confirmed the car insurance on Wednesday after my intensive research. On Sept 10 after our doctor's appointment, we went to Subaru and the new car owner drove us home and then out again to Kent for a spin at Ranch 99 & Winco. :)

Feeling relieved that it was all over save for the logistics of the loan to take care of, I was back to being a regular imsoniac. I hope my poor baby wasn't affected by all my stress hormones over the course of the car nightmare period.
Pregnancy Thoughts
As for the best part of the pregnancy? Feeling baby's movements inside me. I was anxious for this but it wasn't until after week 22-25 that I started feeling her subtle movements. It makes me feel so connected to her, something that the father will never be able to comprehend. So I try to get LG to feel my belly when I feel her move, although sometimes he finds it troublesome and tiring to put his hand there waiting for the slightest of movements.
Her movements have become more prominent than before, and I feel so happy whenever I feel her kicking, wriggling and have bouts of big hiccups. I never expected to have such intense feelings for someone I haven't even met. The joy I feel is indescribable and sometimes I just wish that I have the ability to see through my belly and peep at what she's doing.
It's amazing how an entire human being is growing inside of me, from a tiny embryo the size of a poppy seed at week 4 to a 6 lbs 6 oz mini human at week 38.
It's a waiting game, they say. But I keep telling people that I'm really carrying a timebomb now, unsure of the countdown timer before I boomz! It's kinda fun this way though. At this size though, Olivia has outgrown her father who was born at 5 lbs. Her mom was exactly 6 lbs 6 oz at her time of birth, so Olivia has outgrown her mom too! Wow, hope I won't have serious tears when it's time for her to come into the world. :X
After watching the video on male labour simulation, in which one dad talked about seeing his wife's intestines being laid out on salad bowls, made me so scared of C-section that I actually had a nightmare about it. It also dawned on me that I've only been preparing for her arrival and haven't thought about myself, like how I would deal with the labour pain and the postpartum care stuffs. So I made some padsicles for myself (sadly) and hope the delivery would be smooth and as painless as possible. Wishful thinking, I know.
Tick-tock-tick. When will our little human decide to meet us? :)